Biocompatible Subperiosteal Dental Implants in Temecula, CA
Time-tested technology updated with a modern twist
Subperiosteal Dental Implants are an exciting and useful old/new technology available to help patients who have been told they are not suitable candidates for traditional dental implants. As the leading specialist in dental implant surgery in Temecula and the surrounding areas, we are excited to share with you the news that subperiosteal dental implants are back and available to help patients achieve their dream of having fixed, non-removable teeth. Yes, the ill-fitting dentures can now be thrown into the trash can, where they belong, for good.
How do subperiosteal implants work?
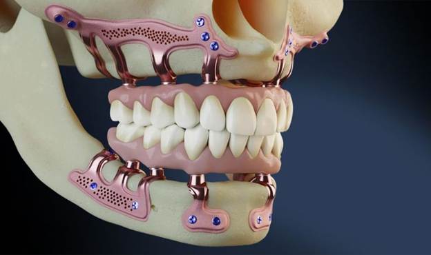
A subperiosteal dental implant is a custom-made metal framework that sits on the jawbone, beneath the gum tissue, rather than going into the bone like traditional All-on-4 dental implants (endosteal implants).
How they work:
- Custom Design: A metal framework is precisely crafted to match the patient’s unique jawbone contours using CT scans.
- Surgical Placement: The framework is placed directly on the jawbone under the gum, and small posts protrude through the gum line to support the replacement teeth.
- Prosthetic Attachment: The custom teeth are then attached to these posts, improving chewing ability and esthetics
Why did they fall out of favor in Temecula & beyond?
The subperiosteal implant was designed and developed mid 20th century to help patients with very little jawbone get fixed, non-removable teeth. They worked well, but the process of actually placing the implants into the atrophic (small) upper and lower jaws required two separate surgeries—one to open up the bone to take a dental impression, and the second surgery to actually place the implant when it was custom-manufactured using metal casting technology. Once traditional dental implants came about 10-15 years later, subperiosteal dental implants were largely forgotten about.
Why are subperiosteal implants experiencing a revival?
They are now making a comeback for two reasons. First of all, as of today, they are still the only reasonable alternative solution for patients in Temecula who lack alveolar bone for traditional dental implant placement. They also serve as an alternative for patients in whom traditional dental implants have failed and cannot be placed again, as well as those patients who have been unsuccessfully treated with more advanced remote anchorage dental implant techniques (zygomatic and pterygoid implants) and who have no alveolar bone left at all.
Moreover, subperiosteal dental implants offer the only possible solution for people dealing with health issues preventing traditional dental implants from osseous integration, such as uncontrolled diabetes and end-stage kidney disease. People who received jaw radiation, are on immunosuppressants, on Fosamax or other osteoporosis medications, are all suitable candidates for subperiosteal implants, and can get a fixed smile.
How has technology evolved to improve implant customization?
This brings us to the second reason for the resurgence of the subperiosteal implant in Temecula. The manufacturing techniques have evolved to allow for the subperiosteal dental implants to be designed based on a patient’s CT scan, which can be obtained very easily in a clinical setting in about 1 minute. Lastly, the manufacturing process has evolved as well, allowing for these subperiosteal implants to be 3D printed out of titanium in a precise and predictable manner, as opposed to having to be made utilizing traditional cast metal techniques.
Who is a candidate for a subperiosteal dental implant in Temecula?
This is a transformative procedure for patients who are truly “at the end of the road”. These patients have been told they have no bone, or the bone is of poor quality, or they are not candidates for medical reasons, or they simply have to resort to wearing dentures for the rest of their lives. FAR FROM IT! With subperiosteal implants, anyone who is interested is a candidate. Don’t settle for dentures… You deserve better… Schedule your free treatment consultation today!
What are the pros & cons I need to consider?
Pros of subperiosteal implants
- Solution for those who have insufficient jawbone for traditional dental implants.
- Solution for all those who are not candidates for traditional dental implants due to health problems, e.g., diabetes, dialysis, or arthritis.
- Patients can eat everything right after the surgery.
- Surgical procedure is less invasive compared to traditional All-on-4 and All-on-6 implants.
- No bone grafting or sinus lifts required.
- Final teeth can be attached within a few days after the surgery, and patients can eat solid food, because no bone integration is needed.
Cons of subperiosteal implant
- Higher lab fees for custom-designed and manufactured, patient-specific implants.
- Lab work might take a month or longer to custom-print the frame.
- Insufficient long-term data.
